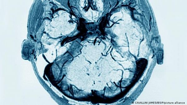
ماهي عوامل الخطر للاصابة بالسكتة الدماغية؟
ماهي عوامل الخطر للاصابة بالسكتة الدماغية؟
ليفربول يعود بالعلامة الكاملة من بيرنلي وتوتنهام يتلقى خسارة موجعة
ليفربول يعود بالعلامة الكاملة من بيرنلي وتوتنهام يتلقى خسارة موجعة قراءة المزيد »
تشيلسي يتوج بكاس العالم للاندية للمرة الاولى بتاريخه
تشيلسي يتوج بكاس العالم للاندية للمرة الاولى بتاريخه قراءة المزيد »
بعد غيابه عن الساحة الفنية.. ما حقيقة وفاة عادل امام؟
بعد غيابه عن الساحة الفنية.. ما حقيقة وفاة عادل امام؟ قراءة المزيد »
لماذا طالب ناشطون بحذف تطبيق سناب شات في السعودية؟
لماذا طالب ناشطون بحذف تطبيق سناب شات في السعودية؟ قراءة المزيد »
7 اهداف في فوز ملحمي لاتلتيكو مدريد على خيتافي
7 اهداف في فوز ملحمي لاتلتيكو مدريد على خيتافي قراءة المزيد »